En Oftalnova contamos con la última tecnología tanto en el Área de Pruebas Diagnósticas como en el Área de Tratamiento.
OFTALNOVA
Pruebas diagnósticas Oftlamológicas en Barcelona
Comodidad, rapidez y precisión




Todas las pruebas sin moverte de Oftalnova.
Resultados inmediatos.
Tecnología de última generación y un equipo con amplia experiencia.


Con una única medición de 2 segundos obtenemos una información completa y de gran precisión, para diagnósticos del segmento anterior del ojo y elección y ajustes de lentes intraoculares.


Pruebas diagnósticas de oftalmología con garantía Oftlanova


PENTACAM AXL
OPTOMETRÍA
Consiste en la prevención, diagnóstico, tratamiento y corrección de defectos visuales. También se ocupa del cálculo y adaptación de lentes oftálmicas para corregirlos.


TEST DE FUSIÓN Y DOMINANCIA OCULAR
GIONOSCOPIA
Medición del ángulo que forman el iris y la córnea. Cuando es cerrado o estrecho existe riesgo de hipertensión ocular.
La fusión ocular es la capacidad cerebral para unir dos imágenes similares enviadas por cada retina en una imagen única.
La dominancia ocular determina qué ojo predomina sobre el otro a la hora de realizar tareas motoras y sensoriales.




OFTALMOLOGIA DIRECTA E INDIRECTA
Exploración del fondo del ojo mediante lentes y un sistema de iluminación. Analiza la mácula.


PUPILOMETRÍA
Es una prueba diagnóstica que nos permite medir el tamaño de la pupila y su comportamiento ante determinados estímulos luminosos.


ABERROMETRÍA
Es la determinación mediante el análisis de frente de ondas, de las aberraciones ópticas del globo ocular que determinarán la calidad visual del paciente.


La sensibilidad al contraste es la capacidad que tiene el sistema visual para discriminar un objeto respecto al fondo sobre el que se encuentra situado.
TEST DE SENSIBILIDAD AL CONSTRASTE


MICROSCOPÍA ESPECULAR Y RECUENTO ENDOTELIAL
Prueba para medir la densidad y la forma de las células del endotelio corneal, que es la capa más interna de la córnea y mantiene su transparencia.


TONOMETRÍA
Medida de la presión intraocular (PIO).


CAMPIMETRÍA COMPUTERIZADA
La campimetría es el estudio del campo visual y la detección de sus defectos (zonas de pérdida parcial o total de visión).


MICROSCOPÍA ESPECULAR Y RECUENTO ENDOTELIAL
Se utiliza para evaluar el estado de la parte central de la retina (mácula) y de la papila óptica (nervio óptico),


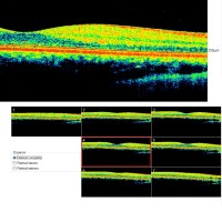
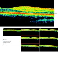
ESTUDIO DE LA PAPILA ÓPTICA (GDX Y OCT DE NERVIO ÓPTICO)
Analiza la retina y crea un mapa detallando del grueso de la capa retiniana y fibras nerviosas de la retina central. La máquina proporciona un análisis estadístico que indica el nivel de daño en cada área de la retina.


PAQUIMETRÍA CORNEAL
La paquimetría es un examen indoloro que permite medir el grosor de la córnea. Esto es útil en la cirugía refractiva y en el glaucoma.


BIOMICROSCOPÍA
Es la exploración mediante un biomicroscopio, también conocido como lámpara de hendidura, que con la ayuda de un sistema de iluminación, lentes y filtros permite la observación de las estructuras oculares tanto externas como internas.


BIOMETRÍA ULTRASÓNICA POR INTERFEROMETRÍA (IOL MASTER)
La biometría consiste en la medición de la longitud del ojo y de los diferentes compartimentos que lo componen para calcular el poder dióptrico de las lentes intraoculares que se implantan en la cirugía de las cataratas o de la presbicia.


LÁSER YAG
Iridotomía: perforación del iris, realizada con láser YAG, para mejorar el flujo del humor acuoso (presión intraocular) en ojos con ángulos estrechos.
Capsulotomía: lisis de células opacificando la cápsula que aloja la lente intraocular utilizando láser YAG.


LÁSER ARGON
Láser utilizado para fotocoagular la retina en enfermedades como diabetes, hemorragias, isquemias, etc… También sella agujeros y/o
desgarros en la retina.


RETINOGRAFÍA
Obtención de fotos en color de la retina. Mediante este procedimiento se pueden detectar diferentes enfermedades que afectan a la retina, como la retinopatía diabética, la retinopatía hipertensiva, la retinosis pigmentaria y la degeneración macular asociada a la edad (DMAE).
En OftalNova disponemos además, de la más avanzada tecnología para realizar todas las pruebas oftalmológicas necesarias para un diagnóstico preciso, sin moverse de la clínica.
Clientes que ya confiaron en Oftalnova
Descubre como he ayudado a otros a través de la comunicación.
Gracias a las mentorías de Adrià, logré mejorar mi vida personal y ahora proyecto más confianza. y mis relaciones han mejorado de formas inclreibles
Brian Moten
Adrià me enseñó a comunicar de una forma que jamás imaginé posible. Mi vida profesional dio un salto de un día para el otro.
Clarice Turner
★★★★★
★★★★★
Nuestros artículos destacados
Oftalnova
© 2024. Todos los derechos reservados
Contacto:
Email:
Teléfono:
Dirección:
Calle Vilana 12
Consultorios 198-199
